

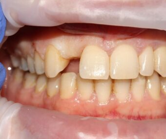
Before Implant placement for Upper Lateral Incisor – patient was very self-conscious of her missing front tooth
After discussing all of the options, we decided that an implant-supported ceramic crown was the best long-term option
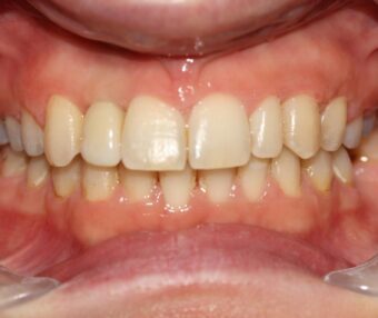
After 3 months, this was the end result! The patient was ecstatic with the natural looking implant and crown
Your foundation for a lifetime of healthy smiles. We offer comprehensive care to keep your teeth and gums in top condition, ensuring lasting oral health.
Learn MoreYour foundation for a lifetime of healthy smiles. We offer comprehensive care to keep your teeth and gums in top condition, ensuring lasting oral health.
Learn More