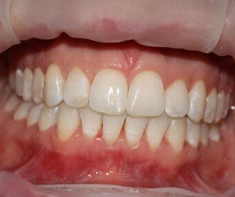
Before - Tooth Talk

before

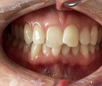
After - Tooth Talk

after

Case 7 - Crooked chipped teeth

Straightened with Invisalign clear braces in 7 months Teeth whitening treatment completed before some composite bonding to…

Read More right orange plain arrow right smalt blue plain arrow
Before - Tooth Talk

before

After - Tooth Talk

after

Case 5 - Northway Dental Practice

Read More right orange plain arrow right smalt blue plain arrow
Before - Tooth Talk

before

After - Tooth Talk

after

Case 4 - Northway Dental Practice

Read More right orange plain arrow right smalt blue plain arrow
Before - Tooth Talk

before

After - Tooth Talk

after

Case 3 - Northway Dental Practice

Patient had teeth straightening and teeth whitening treatment – after 9 months he was delighted with the…

Read More right orange plain arrow right smalt blue plain arrow
Before - Tooth Talk

before

After - Tooth Talk

after

Case 1 - Northway Dental Practice

Read More right orange plain arrow right smalt blue plain arrow

get in touch

View all treatments right orange plain arrow right smalt blue plain arrow

General Dentistry

Your foundation for a lifetime of healthy smiles. We offer comprehensive care to keep your teeth and gums in top condition, ensuring lasting oral health.

Learn More right orange plain arrow right smalt blue plain arrow

Cosmetic Dentistry

Treat yourself to that perfect smile.

Learn More right orange plain arrow right smalt blue plain arrow

Dental Implants

Restore your bite, smile and confidence.

Learn More right orange plain arrow right smalt blue plain arrow

General Dentistry

Your foundation for a lifetime of healthy smiles. We offer comprehensive care to keep your teeth and gums in top condition, ensuring lasting oral health.

Learn More right orange plain arrow right smalt blue plain arrow

Cosmetic Dentistry

Treat yourself to that perfect smile.

Learn More right orange plain arrow right smalt blue plain arrow

Dental Implants

Restore your bite, smile and confidence.

Learn More right orange plain arrow right smalt blue plain arrow
Contact Us