

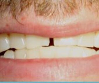
The patient was happy with the gap and colour of their teeth. We decided to close the gap with discreet Invisalign clear braces, and then improved the contour of the teeth with non-invasive composite bonding. The patient also received free teeth whitening and was delighted with their results
Your foundation for a lifetime of healthy smiles. We offer comprehensive care to keep your teeth and gums in top condition, ensuring lasting oral health.
Learn MoreYour foundation for a lifetime of healthy smiles. We offer comprehensive care to keep your teeth and gums in top condition, ensuring lasting oral health.
Learn More