

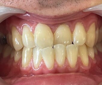
This patient had a 9 month Invisalign and Whitening treatment with The Chequers Dental Practice. This helped him straighten his teeth to help him eat and clean his teeth properly, as well as giving him a beautiful smile
Your foundation for a lifetime of healthy smiles. We offer comprehensive care to keep your teeth and gums in top condition, ensuring lasting oral health.
Learn MoreYour foundation for a lifetime of healthy smiles. We offer comprehensive care to keep your teeth and gums in top condition, ensuring lasting oral health.
Learn More