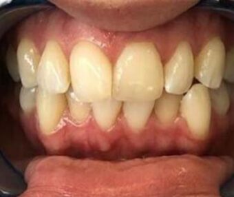
Patient wanted to correct her crooked smile. After 10 months of Orthodontics and teeth whitening, we have…
Read MoreThe patient wanted to correct her crooked smile. After 10 months of Orthodontics and teeth whitening, we…
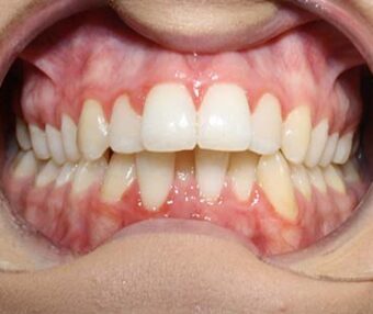
Read MoreThe patient wanted a straighter and fuller smile. After 7 months of Invisalign, and then some whitening,…
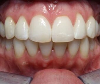
Read MoreThe patient wanted a straighter and whiter smile. After 9 months of Invisalign, the patient achieved her…
Read MoreYour foundation for a lifetime of healthy smiles. We offer comprehensive care to keep your teeth and gums in top condition, ensuring lasting oral health.
Learn MoreYour foundation for a lifetime of healthy smiles. We offer comprehensive care to keep your teeth and gums in top condition, ensuring lasting oral health.
Learn More