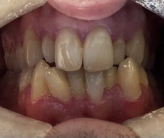
Before - Tooth Talk

before

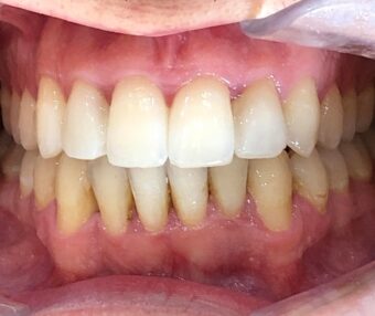
After - Tooth Talk

after

Case 2 - Northway Dental Practice

Read More right orange plain arrow right smalt blue plain arrow
Before - Tooth Talk

before

After - Tooth Talk

after

Case 1 - Tooth Talk Preston

Patient wanted to correct her crooked smile. After 10 months of Orthodontics and teeth whitening, we have…

Read More right orange plain arrow right smalt blue plain arrow
Before - Tooth Talk

before

After - Tooth Talk

after

Case 2 - Tooth Talk Preston

The patient wanted to correct her crooked smile. After 10 months of Orthodontics and teeth whitening, we…

Read More right orange plain arrow right smalt blue plain arrow
Before - Tooth Talk

before

After - Tooth Talk

after

Case 1 - Tooth Talk Staffordshire

The patient wasn't happy with his crooked yellow teeth. The patient decided to have comprehensive Invisalign to…

Read More right orange plain arrow right smalt blue plain arrow
Before - Tooth Talk

before

After - Tooth Talk

after

Case 2 - Tooth Talk Staffordshire

The patient was not happy with his gappy smile. After some Invisalign clear braces to move teeth…

Read More right orange plain arrow right smalt blue plain arrow
Before - Tooth Talk

before

After - Tooth Talk

after

Case 3 - Tooth Talk Staffordshire

The patient wanted a straighter and whiter smile as he was getting married in 6 months. After…

Read More right orange plain arrow right smalt blue plain arrow

get in touch

View all treatments right orange plain arrow right smalt blue plain arrow

General Dentistry

Your foundation for a lifetime of healthy smiles. We offer comprehensive care to keep your teeth and gums in top condition, ensuring lasting oral health.

Learn More right orange plain arrow right smalt blue plain arrow

Cosmetic Dentistry

Treat yourself to that perfect smile.

Learn More right orange plain arrow right smalt blue plain arrow

Dental Implants

Restore your bite, smile and confidence.

Learn More right orange plain arrow right smalt blue plain arrow

General Dentistry

Your foundation for a lifetime of healthy smiles. We offer comprehensive care to keep your teeth and gums in top condition, ensuring lasting oral health.

Learn More right orange plain arrow right smalt blue plain arrow

Cosmetic Dentistry

Treat yourself to that perfect smile.

Learn More right orange plain arrow right smalt blue plain arrow

Dental Implants

Restore your bite, smile and confidence.

Learn More right orange plain arrow right smalt blue plain arrow
Contact Us