

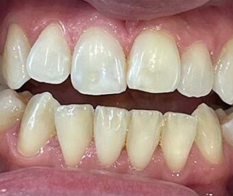
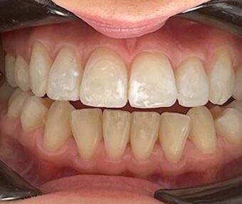
The patient wasn’t happy with her crooked smile. After 8 months of Invisalign to discreetly straighten her smile, some whitening and composite bonding was done to give the patient a fuller smile
Your foundation for a lifetime of healthy smiles. We offer comprehensive care to keep your teeth and gums in top condition, ensuring lasting oral health.
Learn MoreYour foundation for a lifetime of healthy smiles. We offer comprehensive care to keep your teeth and gums in top condition, ensuring lasting oral health.
Learn More