

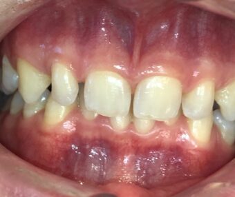
The patient was not happy with his gappy smile. After some Invisalign clear braces to move teeth into ideal positions, the patient had 6 composite veneers to give the patient a fuller smile !
Your foundation for a lifetime of healthy smiles. We offer comprehensive care to keep your teeth and gums in top condition, ensuring lasting oral health.
Learn MoreYour foundation for a lifetime of healthy smiles. We offer comprehensive care to keep your teeth and gums in top condition, ensuring lasting oral health.
Learn More