

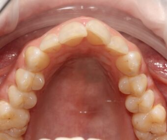
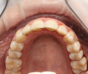
Patient was not happy with her narrow and crooked smile. After 12 months of clear braces and some composite bonding, the patient was delighted with her straighter and wider smile
Your foundation for a lifetime of healthy smiles. We offer comprehensive care to keep your teeth and gums in top condition, ensuring lasting oral health.
Learn MoreYour foundation for a lifetime of healthy smiles. We offer comprehensive care to keep your teeth and gums in top condition, ensuring lasting oral health.
Learn More