

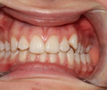
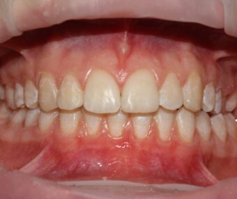
Patient wanted to straighten her upper teeth in the easiest way possible. After 9 months of fixed braces, the patient then had some composite bonding to improve the contours of her teeth. She was delighted with her new smile
Your foundation for a lifetime of healthy smiles. We offer comprehensive care to keep your teeth and gums in top condition, ensuring lasting oral health.
Learn MoreYour foundation for a lifetime of healthy smiles. We offer comprehensive care to keep your teeth and gums in top condition, ensuring lasting oral health.
Learn More