
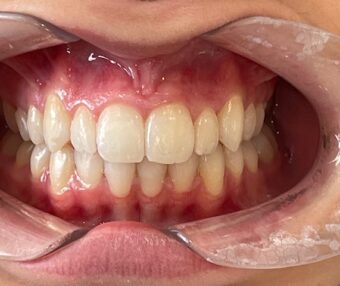
Patient want to straighten and whiten her teeth in a discreet way so we started her Invisalign journey and completed it in 5 months. We then done some composite bonding to make the canines less pointy to complete the look the patient desired !
Your foundation for a lifetime of healthy smiles. We offer comprehensive care to keep your teeth and gums in top condition, ensuring lasting oral health.
Learn MoreYour foundation for a lifetime of healthy smiles. We offer comprehensive care to keep your teeth and gums in top condition, ensuring lasting oral health.
Learn More